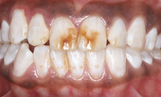
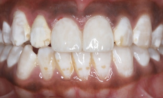
Dental Veneers
Dental veneers, also known as dental porcelain laminates, help to correct the appearance of teeth. They are very thin shells customized to match your tooth color covering the outer surface of the tooth, giving a flawless smile. They are often made of porcelain or resin containing material and are permanently bonded to the teeth. A few people get this done to fix a broken tooth and to create an even and symmetrical smile.
Dental veneers are used to treat several cosmetic corrections including:
- chipped and broken tooth
- teeth cracking
- discoloration due to excessive fluoride, post root canal treatment
- worn out teeth
- uneven teeth
- spacing between teeth
In most cases, the process of getting an indirect veneer requires three visits to the dentist – one for a consultation, second for tooth preparation, fabrication of veneer, and third for bonding veneers to teeth.












