Teeth Whitening
Teeth whitening is the process of making your teeth brighter and whiter and render a confident smile.
What is the need for teeth whitening?
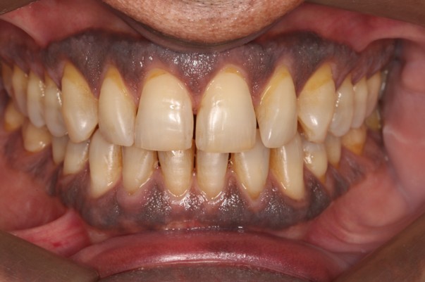
The enamel reflects the natural color of the teeth and can be stained over time leading to teeth discoloration. The factors responsible for the change in color of the teeth are
• Frequent drinking of coffee, tea, wine, cola, etc
• Smoking cigarettes or chewing tobacco
• High intake of fluoride during childhood
• Certain medical treatments can also contribute to tooth discoloration
After an initial exam, the dentist will discuss your expectations on teeth whitening. Based on your expectations, the dentist will evaluate your teeth and plan the treatment if your teeth are suitable for whitening.
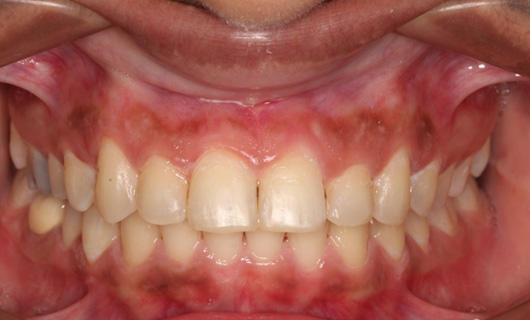
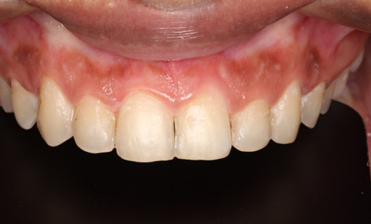
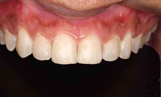
Your dentist will first take a picture of your teeth and examine them to check for the type and extent of stains. Cleaning and polishing of teeth are done before whitening to ensure the best outcome. The whitening process begins after this.
We use the ZOOM whitening system to whiten teeth instantly within 15 to 30 minutes sessions to brighten the shade of your teeth. Whitening will be done in one to three sessions on the same day until patient satisfaction. It gives lasting results and protects your teeth from extreme sensitivity.
Aftercare instructions are explained to patients to prevent post-whitening sensitivity and maintenance of teeth shade.










