Metal Braces

Eswar dental clinic in Kukatpally brings you corrective braces that are just right to align your crooked or crowded teeth. Brining you with a variety of orthodontic options that are available today, our dentists will help you decide and explain the one that has better benefits for you! Dental braces are usually used in one’s adolescence but since age is not a factor for healthy teeth, many adults get their corrective braces later as well. What is it like to wear braces? Your braces are customized that are designed to be comfortable although your lips can feel sore as the braces rub your mouth. They are generally made out of metal but a few braces are made of ceramic or plastic.

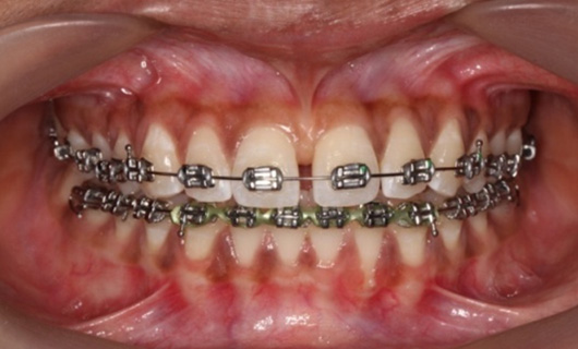
Treatment Gallery

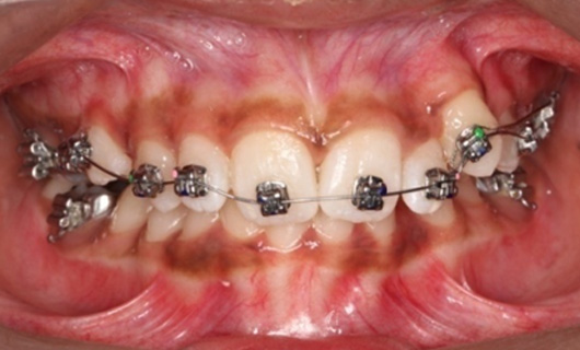
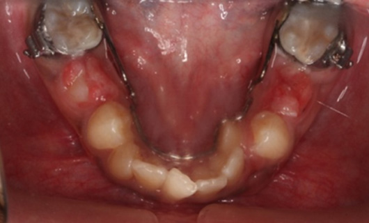
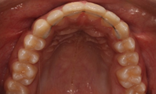
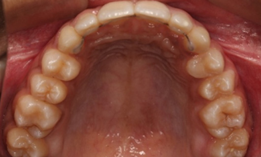
Before
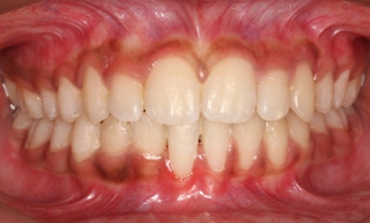
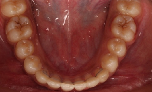
After
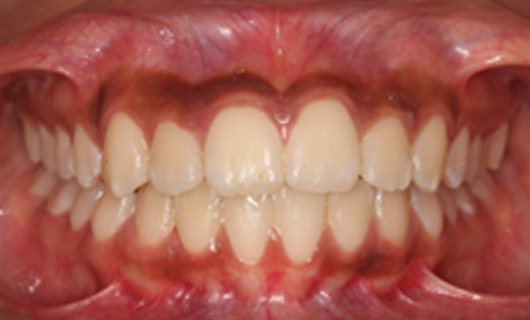
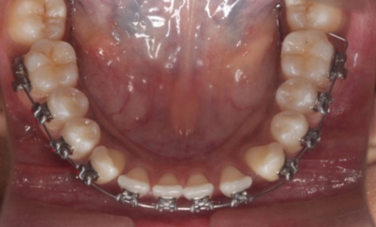
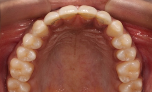
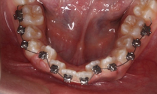
Before
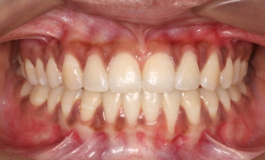
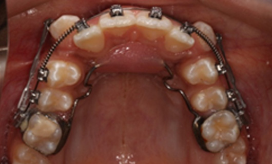
After
Before
After
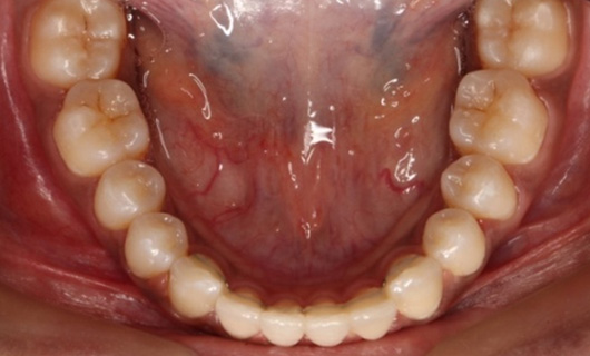
Before
After
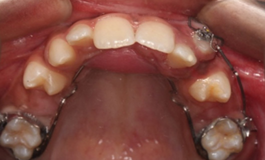
Before
After
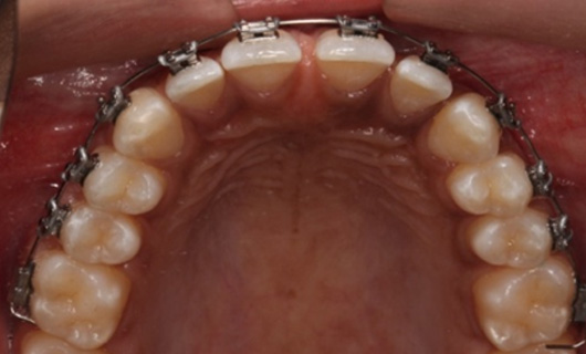
Before
After
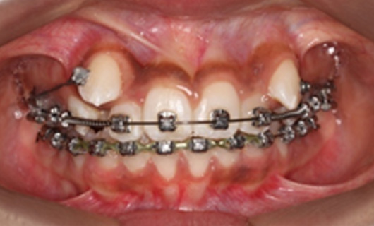
Before
After
Before
After
Before
After
Before
After
Before
After
Before
After
Before
After

Dr C Rakesh Reddy, BDS, MDS.

Work Experience

He completed his BDS from Sri Sai College of Dental Surgery in 2008 and MDS (Conservative Dentistry and Endodontics) from AME’s Dental College and Hospital in 2015. He is having a clinal experience of over 15 years with 9 years of experience as an Endodontist. He expertise lies in Root Canal Treatment, Cosmetic Dentistry, Restorative Dentistry, He is associated with Eswar Dental Clinic since 4 years.

Dr. D Reddy Pradeep

Work Experience

BDS MDS Orthodontics and Dentofacial Orthopaedics (GOVT DENTAL COLLEGE, HYDERABAD, state 2nd rank)
12 years of experience overall. He is a member of Indian Dental Association and certified Invisalign practitioner. He has expertise in treating wide variety of orthodontic cases like preventive, interceptive, comphrehensive adult and surgical orthodontic procedures.

Dr. Ameera, BDS.

Work Experience

She completed her BDS from G Pullareddy Dental College Kurnool in 2020 having experience of 3 years in clinical practice. She is expertised in diagnosing and treating various dental conditions. She performs Routine Dental Scalings, Extractions, Tooth Restorations with Enhanced Patient Care. As a Cosmetic Dental Surgeon she is experienced in performing cosmetic dental procedures like Tooth Colored Restorations, Teeth Whitening. She is associated with Eswar Dental Clinic since 2 years with good clinical management.

Dr. Usha Sree, BDS, MDS.

Work Experience

She completed her BDS from Sri Sai College of Dental Surgery in Vikarabad 2012-2018 and MDS (Dept of Periodontics) from SVS Institute of Dental Sciences in Mahabubnagar 2019-2022 having experience of 2 years of clinical practice. As a periodontist she is expertised in performing various surgical procedures like Flap Surgeries, Crown Lengthening/Gingivectomy, Esthetic Smile Designing, Root Coverage Procedures, Implants, Depigmentation, Frenectomy. Also well versed with the use of Lasers, managing Oral Lesions and General Dentistry Procedures. She is associated with Eswar Dental Clinic since 9 months with good clinical management.

Dr. Mohana Bindu, BDS, MDS

Work Experience

She completed her BDS from SDM Dental College Dharwad in 2012 and MDS from Osmania Government Dental College in 2017 having experience of 7 years of clinical practice. She is expertised in fixed crowns and bridges, complete and partial removable dentures, full mouth reconstruction, cosmetic dentistry and implant restorations. She is associated with Eswar Dental Clinic since 4 years with good clinical management. As a prosthodontist she delivers high-quality, precise, and aesthetically pleasing dental restorations.

Dr. S.B.V. Ramana Reddy

Educational Qualification

  • ICOI- FELLOW: Fellow of the ICOI, May 2024 (International Congress of Oral Implantologists)
  • WSLO-Active Member Exam: Passed on 3rd July 2015 (One of the first Indians to clear this exam)
  • IBO-Diplomate: Diplomate, Indian Board of Orthodontics (2012) (First orthodontist to pass this exam in Andhra Pradesh & Telangana)
  • M.Ortho: The Royal College of Surgeons of England and Royal College of Physicians & Surgeons of Glasgow (2001)
  • M.D.S: Bapuji Dental College and Hospitals, Davanagere, Karnataka (1997-2000)
  • B.D.S: Bapuji Dental College and Hospitals, Davanagere, Karnataka (1989-1995)

Work Experience

  • Professor: SVS Institute of Dental Sciences & Hospital, Yenugonda, Mahabunagar (Resigned, Nov 2012)
  • Job Description: Active in private practice for the past 25 years. Special interest in growth modulations, surgical orthodontics, and lingual orthodontics.

Publications

  • Clinical Pearl: A Ligature Twister for Lingual Retainer – Accepted for publication by JCO
  • Severe bimaxillary protrusion treated with micro implants: IJM 2009, Mahabubnagar
  • Digital models in orthodontic office: IJM 2009, Mahabubnagar
  • Lingual Orthodontics in Private Practice: JIOS, December 2016, Special Edition

Guest Lectures

  • Clinical management of orthodontic cases in private practice: Bapuji Dental College & Hospital, Davanagere (March 2010)
  • Management of the cleft maxilla: 45th Indian Orthodontic Conference, Mangalore (December 2010)
  • Role of orthodontist in the management of cleft maxilla: Indocleftcon-2014, K.G. Medical University, Lucknow (February 2014)
  • Innovations in cleft orthodontics: 10th International Bernd-Spiessl-Symposium, Switzerland (June 21, 2014)
  • Vogue in Orthodontics – Lingual Approach: 50th Indian Orthodontic Conference, Hyderabad (December 11, 2015)
  • Common Sense Lingual Mechanics: One-day refining programme, Trissur, Kerala (April 10, 2016)

Scientific Sessions/Workshops Conducted

  • Visiting Scientist: Collaborative research at College of Dentistry, Yonsei University, Korea (16th Oct – 10th Nov 2007)
  • Orthognathic Surgery: CDE workshop conducted on 31st July & 1st August 2009 at SVS Institute of Dental Sciences, Mahabubnagar