Teeth Cleaning
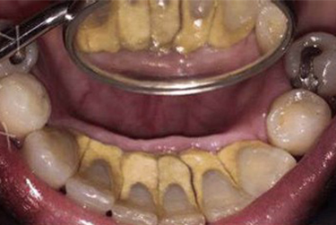
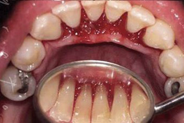
A teeth cleaning is a procedure that removes plaque, food deposits, and stains on teeth. Plaque and tartar can build up on your teeth, causing gum inflammation and degrading gum health. Teeth cleaning can be superficial and deep depending on the condition of gums. Regular teeth cleaning prevents most dental problems.
Here are a few signs that you might need teeth cleaning:
- Bleeding or swollen gums
- Bad breath
- Receding gums
- Loose teeth
WHAT HAPPENS DURING TEETH CLEANING?
Teeth cleaning removes plaque and tartar from your teeth, reducing gum inflammation and improving gum health.
STEP 1: Oral examination
Before the teeth cleaning process starts, your dental hygienist will examine your teeth for any signs of gum infection and inform you about the procedure and number of sessions required.
STEP 2: Cleaning
The hygienist or dentist uses vibrating tips to remove plaque or tartar on teeth. Cleaning can be completed in one to three sessions based on the severity of gum infection with an interval of 4-5 days.
STEP 3: Polishing
After cleaning, polishing is done to remove any remnants of tartar or stains on and between tooth surfaces. Polishing effectively removes smoking and pan stains leaving the teeth bright and shiny.
In some cases, cleaning is followed by a Flouride application to prevent sensitivity.
BENEFITS OF TEETH CLEANING:
- Prevents gum disease
- Reduces bleeding gums
- Eliminates bad breath
- Strengthens teeth
- Protect roots of your teeth
- Promotes healthy gums
Maintenance:
Regular Dental check up (once in 6-12months) and maintenance of oral hygiene with proper brushing and flossing is advised.
Note:
Flossing and teeth cleaning does not cause gaps between your teeth. The gaps you feel after flossing and cleaning are because of the plaque stuck in the present gaps has now been removed from those gaps. The presence of gaps between your teeth or teeth and gums is a sign of unhealthy teeth. Cleaning by any means does not damage your teeth but ensures in strengthening them.






