Pediatric Dentistry
Pediatric Dentistry for young teeth! It deals with dental problems in children from birth through adolescence.
Eswar Dental Clinic in Kukatpally, KPHB, aims to promote a positive attitude, awareness of dental hygiene, and regular healthy oral habits for kids and children with special needs. We have a team of doctors who always take a step forward as this domain needs special care. We ensure your child feels safe and comfortable with us during check-up and treatment. Regular dental check ups, early detection and treatment of dental issues can avoid complications and child suffering.
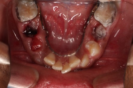
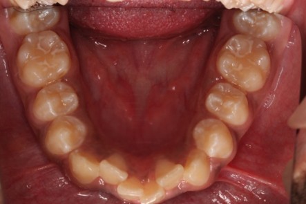
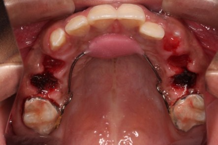
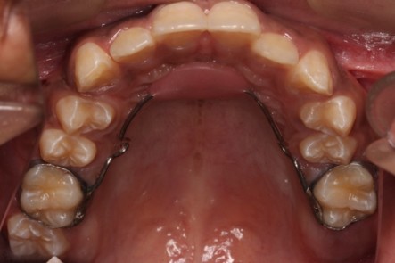
Tooth decay is a common issue seen in kids due to high sugar intake. Broken teeth from injuries, teeth alignment, finger sucking, bad breath are the most common dental problems in children. They can be prevented and cured as the teeth are young and are in growing phases.
Pediatric dentistry mainly includes
- Fillings
- Pulpotomy, pulpectomy
- Dental sealants
- Interceptive or habit breaking orthodontics to minimize teeth and jaw irregularities.








