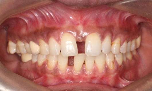
Invisalign Braces
Like braces, Invisalign Braces straighten teeth by placing trays of special material over the teeth in their natural position. A gentle and constant force is used to move the teeth into the desired position without having to go through the hassle of metal wires and brackets. Through digital scanning, they are customized for every patient. Over time, they become a part of the body, since they are so snugly fitting. You are free to eat and drink anything since you will be removing all foods before every meal.










