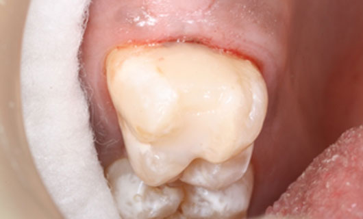
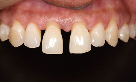
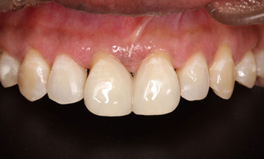
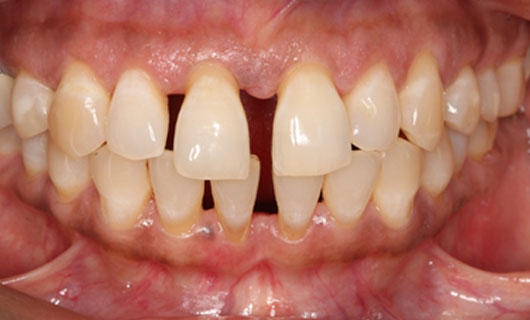
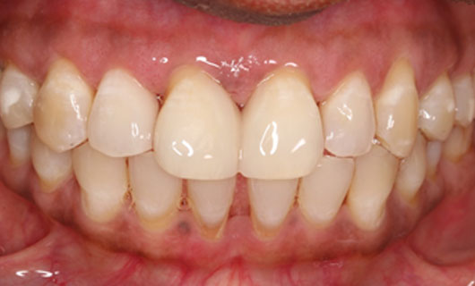
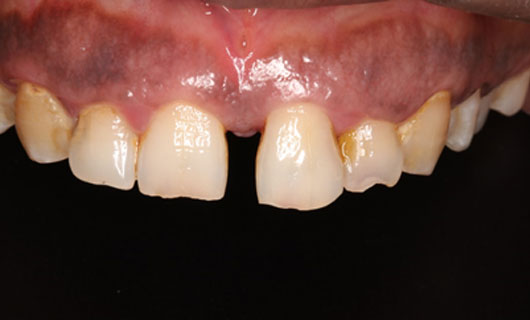
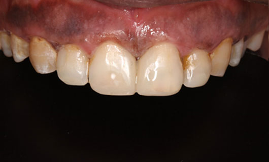
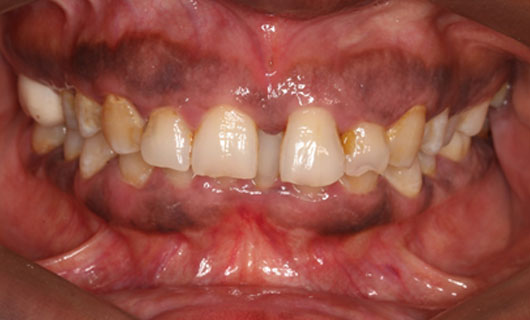
Tooth Colored Fillings
Dental fillings are done if a tooth is damaged by a cavity, gaps (Diastema), broken, worn out, etc preventing it from further deterioration. Your dentist will examine your teeth and advice you suitable filling materials. Teeth can be filled with various materials such as composite, glass ionomers, gold, porcelain, silver amalgam based on the extent of the damage.
Tooth-colored fillings are well customized to match your enamel and blend in when you smile. These tooth fillings can last for about 10 to 12 years provided with a good oral hygiene routine.


















