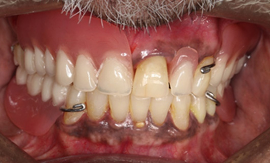
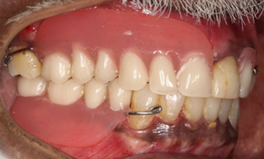
Partial Removable Dentures
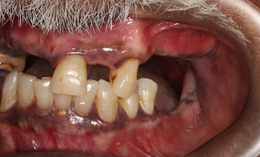
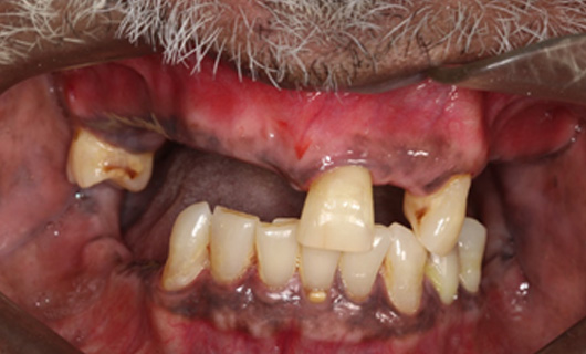
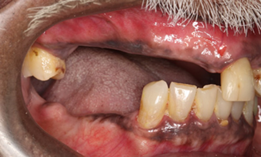
Partial Denture is a removable dental appliance that looks like natural teeth and helps restore the function and shape of the jaw by replacing one or more missing teeth. These are made of a mix of acrylic and metal, which helps strengthen your teeth and makes it easier to talk and eat. When you’re missing one or more teeth, the rest of your teeth will try to fill in the space. This causes the bone and soft tissues near the missing tooth to shrink. This will change the way you bite, and if you have other dental problems, it could make you look really bad. So, a partial denture is the best and safest way to fill in the space left by your missing teeth.










